近日,第十一屆中國創新創業大賽全國賽生物醫藥領域賽事圓滿結束。上海賽區21家企業獲得國賽優秀獎,其中3家企業來自閔行區,來逐一了解一下。
上海昊佰生物科技有限公司
獲獎項目:基于類器官3.0技術的雙特異抗體篩選平臺
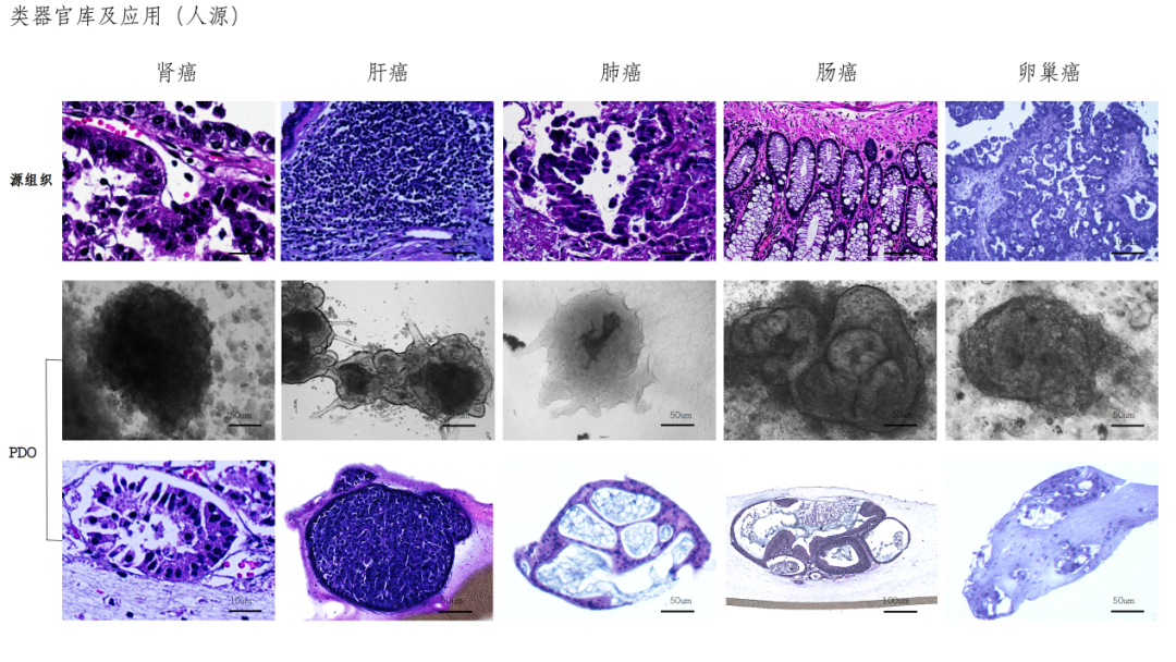
該項目是在國內唯一的具備類器官2.0/1.0雙技術平臺基礎之上著重打造3.0平臺,致力于提供針對免疫靶向治療的精準醫療篩查服務、面向全球的藥靶發現及藥效評估平臺;夯實臨床藥敏檢測一致性成果,布局上游設備試劑的研發和轉化。項目以構建腫瘤免疫臨床前模型為目的,擬通過對類器官培養和微流控芯片進行研究,構建低價高效、高通量、易標準化操作的可廣泛應用的腫瘤類器官芯片(tumor organoids-on-a-chip)。

上海昊佰生物科技有限公司是國內唯一采用類器官1.0(3D包埋式培養法)和類器官2.0(Air-Liquid-Interface,氣液交互式培養法)雙技術平臺進行類器官培養、實現多維度服務的國家高新技術企業,核心研發團隊由來自美國斯坦福大學的頂尖科學家領軍一流的科研人員組建而成。
譜創醫療科技(上海)有限公司
獲獎項目:應用于治療血管鈣化的沖擊波導管系統
該項目是一款全國首創,自主研發并獲得發明專利授權的創新醫療器械。核心專利技術能360度發射沖擊波能量,均勻地震裂環形鈣化斑塊,進而改善鈣化病變的血管順應性,使后續的病變擴張得以在低壓下進行。產品安全、有效并能快捷地解決嚴重動脈鈣化這一血管介入治療痛點。目前該產品已完成注冊臨床試驗,有望在2023年獲批上市。

譜創醫療科技(上海)有限公司是一家專注于心臟和泛血管有源微創介入技術的平臺型創新醫療科技企業。公司以解決真實臨床痛點為目標,通過自主研發的可廣泛應用于臨床的創新技術平臺來克服心臟和泛血管病變。
上海軟馨生物科技有限公司
獲獎項目:自體組織工程骨移植重建鼻甲
該項目只需抽取少量骨髓,即可為萎縮性鼻炎及“空鼻癥”患者提供足量的自體活體組織工程骨用于鼻甲重建。該技術國際領先,被業內權威專家評價為“整體技術安全、有效、先進”,已完成國家衛健委備案的干細胞臨床研究,正在申報組織再生創新醫療技術臨床準入。當前國際上已將組織工程、細胞治療、基因治療共同歸為新興治療產品(Advanced Therapy Medical Products)范疇,這類產品共同推動著生物醫藥第三次革命,有望極大延長人類壽命的同時顯著改善生存質量。

上海軟馨生物科技有限公司在組織工程活體軟骨、骨再生領域有著深厚的技術積累,項目團隊在國際上率先開展了耳、鼻再造等各類極具挑戰性的軟骨、骨缺損再生修復臨床轉化研究,引領了“活體組織再生再造”組織器官缺損修復全新治療模式。


經濟參考報社版權所有 本站所有新聞內容未經經濟參考報協議授權,禁止轉載使用
新聞線索提供熱線:010-63074375 63072334 報社地址:北京市宣武門西大街57號
JJCKB.CN 京ICP備18039543號